WHAT IS ROOT CANAL TREATMENT?
Root Canal treatment is a sequence of treatments that help to treat infected tooth pulp resulting in elimination of infection. It also helps in protecting decontaminated tooth from future microbial infections. The treatment help in salvaging the diseased tooth thereby saving the natural tooth.
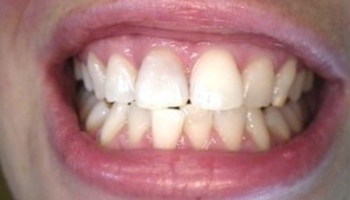
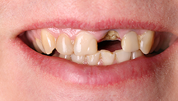
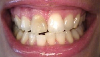
BEFORE & AFTER PICTURE GALLERY
Root Canal
Root Canal
Why Does One Need Root Canal ?
When teeth or a particular tooth starts to decay, and reaches to the bottom of its root, causing inflammation, then a root canal treatment is suggested by Endodontists, who are the root canal specialists.
This whole process includes steps like:
- Removing the tooth from the root
- Cleansing and disinfection treatments
- Filling the gap caused by the removal of tooth
- Crowning the new tooth
Symptoms Of Needing A Root Canal
- Toothache: It’ one of the major symptoms of the root canal to be suggested by the expert dentists. The pain might be slightly bearable, but sometimes, it reaches a severe level. So, keep a close check on the reoccurrence of the pain and know if pain frequently is increasing or not.
- Prolonged Sensitivity: At times, we let the tingling and painful feeling let go when we eat something mildly hot or cold. We think the pain will go in sometime. But, if this has been happening a lot more than earlier, it’s time for you to get an expertized root canal treatment before other teeth are also damaged.
Also, if the patient is not able to tolerate that pain or is happening after every other meal, it’s always best to consult the dentist as soon as possible.