WHAT IS SCALING AND ROOT PLANNING?
Deep cleaning or scaling and root planning is a treatment that treats gum disease or periodontitis. As part of this procedure, scalers are used by the dentists to clean accumulated tartar off the teeth’s enamel surface. In some cases, curettes, a special instrument is used to remove calculus.
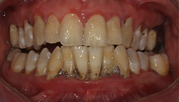
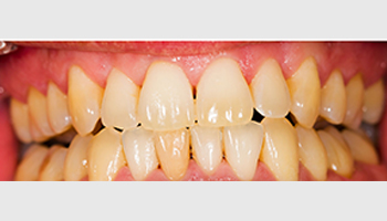
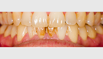
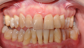
BEFORE & AFTER PICTURE GALLERY
Scaling & Root Planning
Scaling & Root Planning
Why Scaling and Root Planing Is Necessary ?
Your teeth are cleaned with prim and proper details because of scaling and root planing procedures. More or less, if you are going through gum disease, these procedures are an optimum choice to go for.
Heal the ailing tissue and gums: Scaling is the procedure performed around or at the surface of the diseased tooth/teeth. But the root planing is performed under the gum’s surface for smoothening of the roots and reduction of inflammation.
And that is how scaling and root planing heals the tissue again, which was distressed because of the gum affliction.
No plague anymore: Even after regular flossing and brushing, bacteria or gum disease are still invited into your denture. This kind of plague will harden or inflate your gums slowly and steadily. So, scaling and root planing procedures are the best for removal of the stubborn bacteria, or any other plague that’s hidden under the surface of the teeth/tooth. However, if the plague or tartar is too stubborn, the dentist might suggest you more than a single visit.
Protection against further afflictions: If you get scaling and root planing on time, then you can prevent gum diseases from going beyond to gingivitis. These two procedures clean your tooth and start the healing process of the ailing gum. So, the bacteria and other plague are shut down on time, preventing them from spreading over to another tooth.